Caso clínico

Facetas em Resina Composta

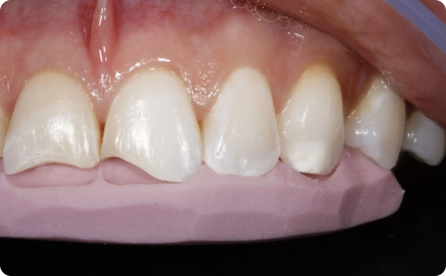
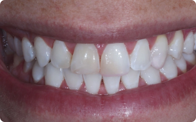
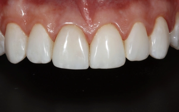
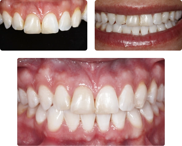
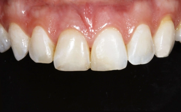
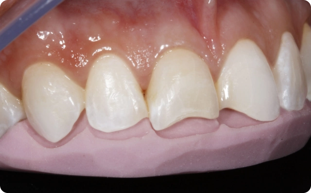
Antes

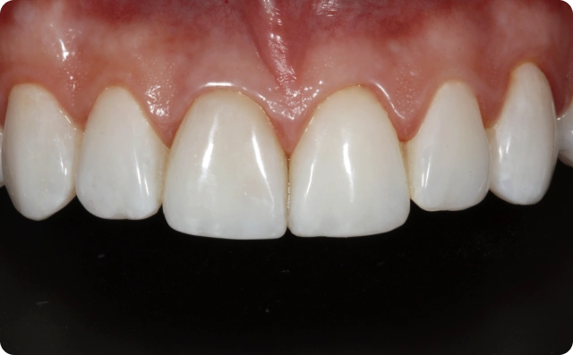
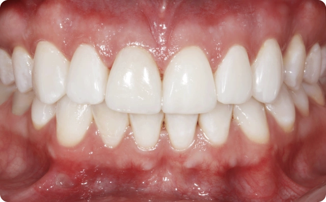
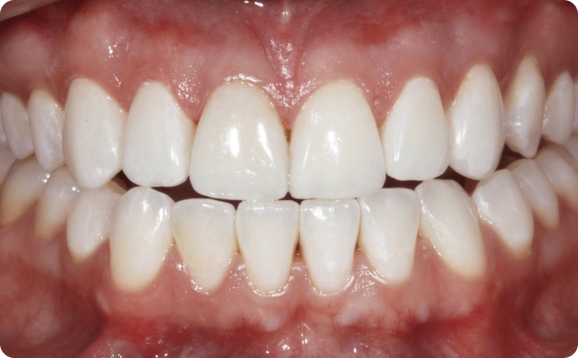
Depois

Quando um ou mais dentes se mostram escurecidos devido a um tratamento de canal, isso acaba interferindo não só na aparência, como também na auto-estima.

Mas, o que muitos não sabem é que existem algumas soluções para este problema: o clareamento dental interno e o caseiro e as facetas dentárias em resina ou porcelana.

Abaixo, vamos apresentar um caso clínico feito com Facetas em Resina Composta, com a finalidade de mudança da cor e da forma.

Uma paciente nos procurou, insatisfeita com a estética das restaurações já existentes. Além disso, possuía um dente incisivo central mais escurecido, devido a um tratamento de canal realizado quando era mais jovem.

Após uma avaliação clínica, radiográfica e fotográfica bem detalhada, elaboramos um plano de tratamento personalizado para atender as necessidades da nossa paciente.

Com o plano de tratamento acordado, demos início ao tratamento com o clareamento dental. No caso em questão associamos duas técnicas de clareamento: o de consultório e o caseiro.

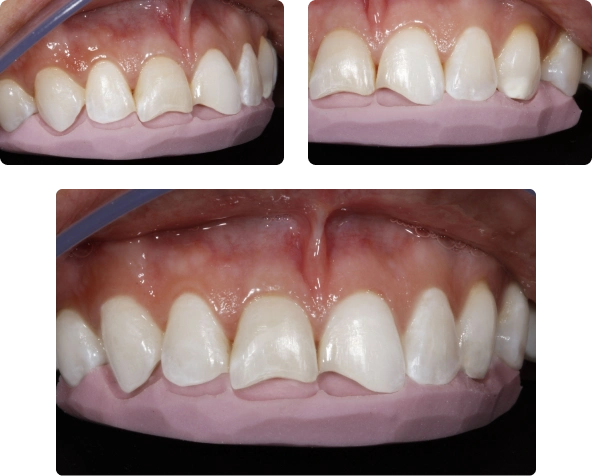
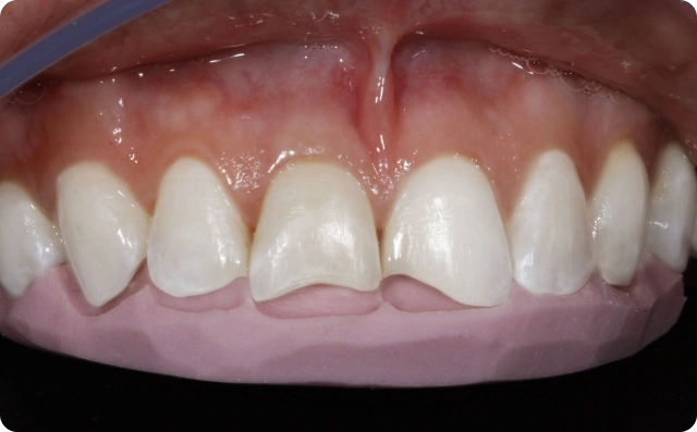
As restaurações antigas foram removidas sem qualquer desgaste no remanescente dentário.

Após enceramento de diagnóstico, a guia de silicona serve de molde para reproduzir os bordos ideais dos dentes em questão, na confecção das facetas em resina composta.

Foram confeccionadas Facetas em Resina Composta, de canino a canino, com a finalidade de se reestabelecer as guias, perfil de emergência (forma/contorno), cor e textura dos dentes, promovendo uma estética oral harmônica e funcional.

Ao término de cada tratamento realizado, enfatizamos a importância das revisões odontológicas de acordo com cada caso.

Este Caso Clínico envolveu as diversas especialidades encontradas em nossa clínica para alcançar os resultados obtidos.

Eai, gostou do resultado?