Caso clínico

Reabilitação e Estética Oral

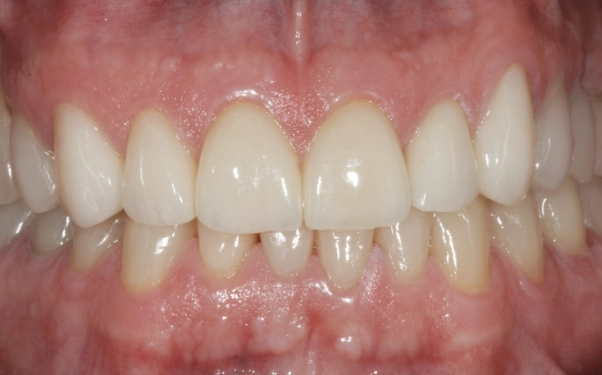
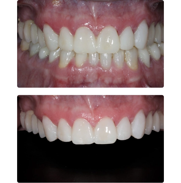
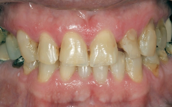
Antes

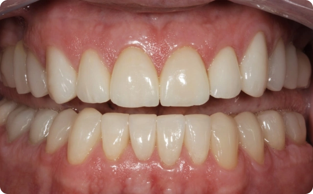
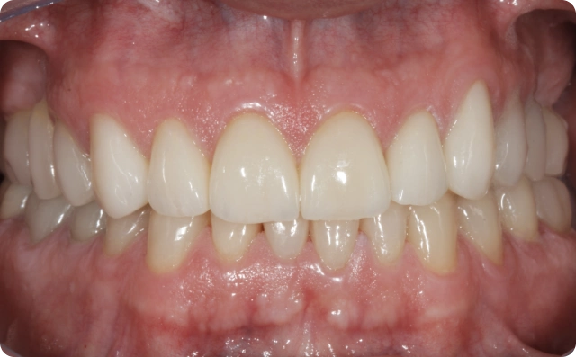
Depois

Em 2015, um paciente procurou o Instituto Sônia Canto de Odontologia através do nosso site.

Ele relatou segurança para procurar nossos serviços, após ver vários dos nossos casos clínicos publicados.

Sua queixa principal era a de que tinha feito um tratamento ortodôntico de mais ou menos dois anos de duração, mas continuava insatisfeito com a função mastigatória e a estética de seus dentes.

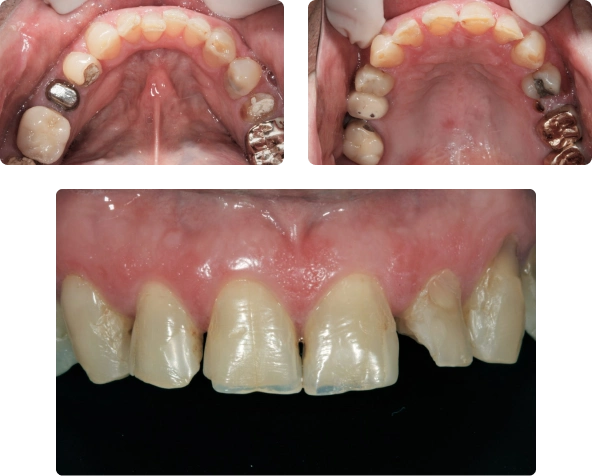
Quando chegou para a consulta inicial, ele já estava sem o aparelho e apresentava diversos problemas odontológicos, tais como: dentes cariados, quebrados, escurecidos, problemas periodontais e endodônticos (vários dentes com indicação para tratamento e retratamento de canais).

Ele queria realizar a reabilitação e a estética oral, porém possuia uma limitação financeira, que o fazia acreditar que não conseguiria realizar o seu tratamento.

Propusemos um estudo, para o planejamento inicial, que consistia na confecção de modelos de estudo das arcadas superior e inferior, que foram montados em um articulador semi-ajustável (funciona como uma “maquete” do trabalho final), para a realização de um enceramento e diagnóstico, procedimento este que auxiliou no planejamento do tratamento a ser realizado.

Considerando as suas questões financeiras, foi proposto um planejamento por etapas e fases. Isso mostra que, quando se tem um objetivo, é possível realizar o tratamento, sem precisar de grandes investimentos iniciais, podendo fazer uma programação financeira para cada fase do processo.

Na etapa inicial, após o enceramento diagnóstico e a confecção de um “MOCK UP”, simulação na boca de como ficaria o trabalho esteticamente, partimos para a confecção de coroas provisórias.

A partir daí, o paciente foi indicado para a Periodontia, para realizar a terapêutica básica e cirurgia do aumento de coroa clínica em alguns dentes.

Também foi preciso remover cáries e trocar antigas restaurações por restaurações estéticas em resinas compostas em alguns dentes.

Além disso, fizemos o encaminhamento para a Endodontia, para a realização dos tratamentos e retratamentos de canal em alguns dentes, e posteriormente, foram confeccionados núcleos estéticos.

Só após ter sido restabelecida a saúde bucal e ter alcançado a estabilidade oclusal é que foi finalizado o caso clínico.

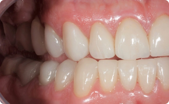
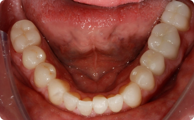
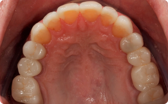
Foram confeccionadas facetas cerâmicas de dentes caninos a caninos superiores e inferiores, ponte fixa na região superior direita e coroas unitárias em dissilicato de lítio nos pré molares e molares.

Ao final do caso clínico, em 2017, indicamos uma placa miorrelaxante que foi confeccionada, no intuito de proteger os dentes de possíveis desgastes causados pela DTM (Distúrbio Temporo Mandibular).

Este Caso Clínico envolveu as diversas especialidades encontradas em nossa clínica para alcançar os resultados obtidos.

Eai, gostou do resultado?