Caso clínico

Reabilitação Oral Integrada

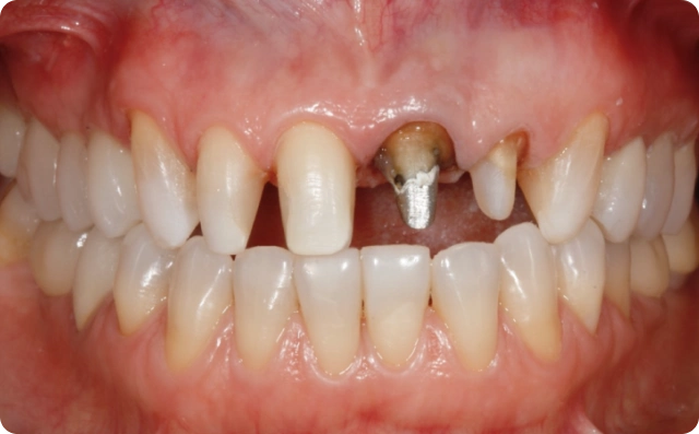
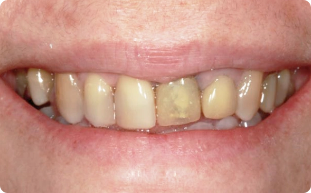
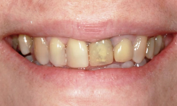
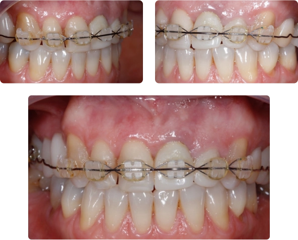
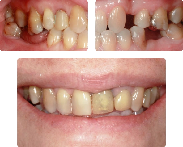
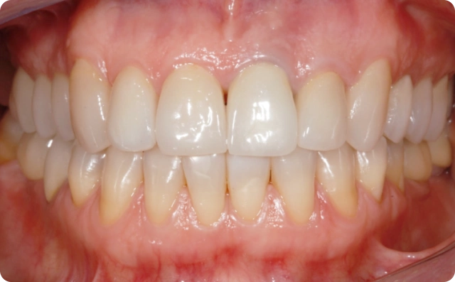
Antes

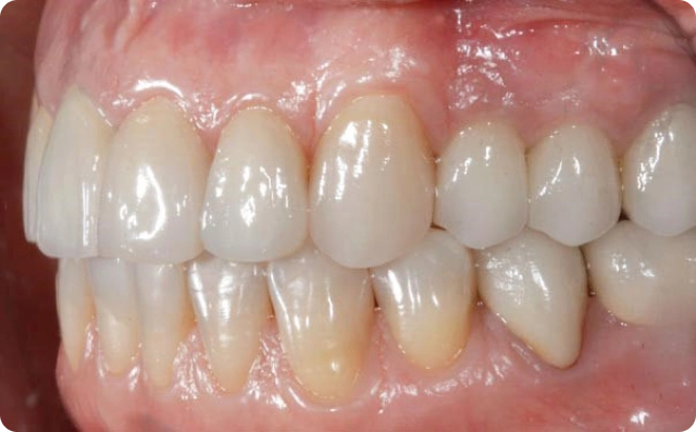
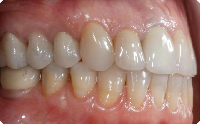
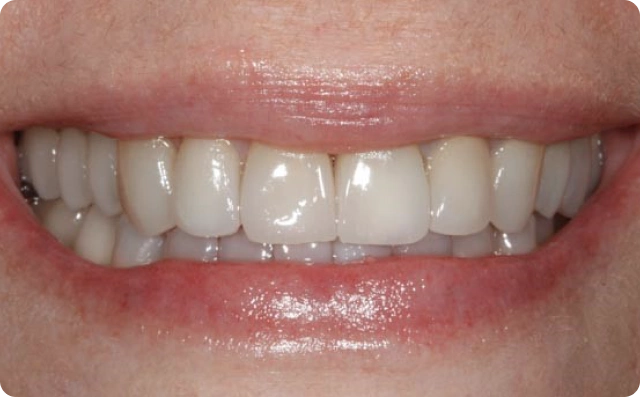
Depois

Neste caso clínico houve a integração das seguintes especialidades: Ortodontia, Dentística, Periodontia, Implantodontia e Prótese.

A paciente em questão, nos procurou devido a sua insatisfação com a estética do seu sorriso e a dificuldade da mastigação.

Após criteriosa avaliação elaboramos um plano de tratamento que consistia na remoção das próteses antigas e das restaurações inadequadas, para serem substituídas por restaurações em resinas compostas e instalação de novas próteses provisórias.

Além disso, houve a necessidade de adequação do meio através da Periodontia, clareamento dental caseiro e início do tratamento ortodôntico para descruzar a mordida anterior.

O tempo de tratamento ortodôntico pode variar dependendo da complexidade de cada planejamento.

Esse caso levou aproximadamente um ano e meio de tratamento ortodôntico e, por questões estéticas, a paciente optou pelo aparelho de cerâmica ao invés dos braquetes metálicos.


Na fase de finalização da ortodontia, com a mordida anterior já descruzada, solicitamos novos exames radiológicos e iniciamos o planejamento de implantes na região posterior.

A pedido da paciente, trabalhamos de forma setorizada. Primeiramente finalizamos os dentes posteriores com coroas, blocos em cerâmicas e próteses sobre implantes.

Na foto podemos observar os implantes já instalados e osseointegrados, próteses da região posterior instaladas com a oclusão, planos reestabelecidos e preparos dos dentes anteriores para posterior confecção de próteses cerâmicas.

No segmento anterior, foram confeccionadas 4 facetas e duas coroas cerâmicas.

Este caso clínico foi bastante complexo esteticamente, devido as diferenças de cor entre os substratos (principalmente pelo pino metálico de um dos incisivos centrais).

Este Caso Clínico envolveu as diversas especialidades encontradas em nossa clínica para alcançar os resultados obtidos.

Eai, gostou do resultado?